CABINET DENTAIRE DU DR PASCAL GEFFRAY
PRATIQUE DE L'ORTHODONTIE POUR ENFANTS ET ADULTES À LANGUIDIC
CABINET DENTAIRE DU DR PASCAL GEFFRAY
PRATIQUE DE L'ORTHODONTIE POUR ENFANTS ET ADULTES À LANGUIDIC

25 Place du Général de GAULLE 56440 LANGUIDIC     +33 2 97 65 23 64

Blog - Page 15

Expansion palatine - activation du disjoncteur

Expansion palatine - activation du disjoncteur

Le quad helix : traitement du palais et de l’alignement des dents

Le quad helix : traitement du palais et de l’alignement des dents

Nettoyage des brackets avec brossette interdentaire

Nettoyage des brackets avec brossette interdentaire

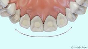
Fil de contention

Fil de contention

Traitement orthodontique esthétique par gouttières

Traitement orthodontique esthétique par gouttières

Prévention des caries chez l’enfant : le scellement des sillons

Prévention des caries chez l’enfant : le scellement des sillons

Sceller les sillons consiste à couler une résine fluide et fluorée dans les sillons des premières et deuxièmes molaires permanentes des enfants afin de les obturer.

Affichage des articles 85-90 sur 98

Création par Webdentiste

Connexion